SmartliteNd YAG ¹p®g¼ä¥Õ¤ú¾¦


The KTP laser for teeth bleaching and odontostomatological treatments
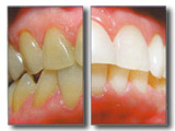
The result of collaboration with the university and research institutes, as well as with hundreds of users, SmartLite & Smartbleach® represent the new, reliable and durable method for whitening teeth with laser, capable of improving and speeding up daily dental practice with unquestionable clinical advantages.
SmartLite & Smartbleach® is the safe and efficacious whitening system as it is based on a unique and innovative method that preserves tooth enamel.

SmartLite Benefit:
How does Smartbleach® work?
Smartbleach® works by breaking down stained molecules within teeth. When
combined with a unique alkaline gel, the special laser system whitens with a
unique alkaline gel, the special laser system whitens teeth through
photochemical reaction without causing thermal irritation to the tissue or
etching the tooth surface. The whitening results are long lasting in almost all
kinds of stained teeth.
Why is the Smartbleach® treatment better
than others?
Smartbleach® through its combination of patented laser energy and unique
bleaching formula is more effective and longer lasting than alternative methods
of whitening as it can treat both external and internal discolorations such as
antibiotic staining on natural teeth. Its superior therapeutic laser effects
restore the luster in teeth and also make it healthier and cleaner, thereby
preventing tooth decay.
How long does the procedure take?
A Smartbleach® treatment on average takes approximately one hour depending on
the condition of the teeth. Common staining such as a uniform light yellow,
light brown or light grey discoloration usually requires only one session of
treatment. For more intense staining, at least two sessions would be required.
Is Smartbleach® treatment safe?
Extensive research has been done with the Smartbleach® treatment and it is
trialed and proven to be one of the safest and most effective bleaching system
available in Europe and Australia. The laser is extremely safe and is used only
by trained dental professionals.
Will it hurt?
Smartbleach® treatment is generally comfortable and pain free, the laser energy
brings about changes to the dentine and enamel structure, thus bleaching and
prevention simultaneously takes place. It is relatively fast & simple with no
anesthesia required.
What about sensitive teeth?
Sensitive teeth can also be bleached with a desensibilisation after procedure.
As with most dental treatments, some people may experience slight sensitivity
for one or two days following the procedure. Avoid extreme hot or cold drinks if
any tooth sensitivity occurs.
Does it work on capped teeth, amalgam
filling bonds and porcelain veneers?
Smartbleach® only work on natural teeth. However, you may wish to consult your
dentist to determine your results.
Are home bleaching trays required?
The exclusive combination of the green laser light and patented Smartbleach®
alkaline gels can achieve a greater bleaching effect with consistent results
that does not etch the tooth surface. This results in reduced post-procedure
sensitivity and natural looking white teeth without messy home bleaching trays.
How long does the results last?
On average, Smartbleach® whitening results can last for years assuming food oral
hygiene such as regular brushing, flossing and visits to your dentist. Results
may very with the individuals teeth structure, dietary habits and lifestyle
habits such as smoking.
¡@