Café-au lait Sport©@°Ø¤û¥¤´³
What is café-au lait sport?
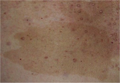
A beige or brown flat, oval patch caused by increased pigment in the skin surface layer, sometimes called hyperpigmentation. Café au lait spots or cafe-au-lait spots (CAL) are pigmented birthmarks. The name café au lait is French for "coffee with milk" and refers to their light-brown color. They are also called "giraffe spots."
When to worry?
While café au lait spots are usually not associated with any medical problems, having many (three or more) such spots is linked with neurofibromatosis and the rare McCune-Albright syndrome.
Also, having six or more of such spots greater than 5 mm in diameter prepubertal or greater than 15 mm in diameter postpubertal children is a cardinal diagnostic feature of Neurofibromatosis type I.
Other syndromes that may include Cafe au lait spots:
What treatment to do ?
For facial cafe-au-lait spots, laser therapy is an option. Results vary. Some may be removed permanently. Some may darken. Some may only be removed temporarily, Cafe-au-lait spots elsewhere on the body usually aren¡¦t treated.
![]() |
![]() |
¡@
![]() |
![]() |

